Stay up to date with notifications from The Independent

Notifications can be managed in browser preferences.

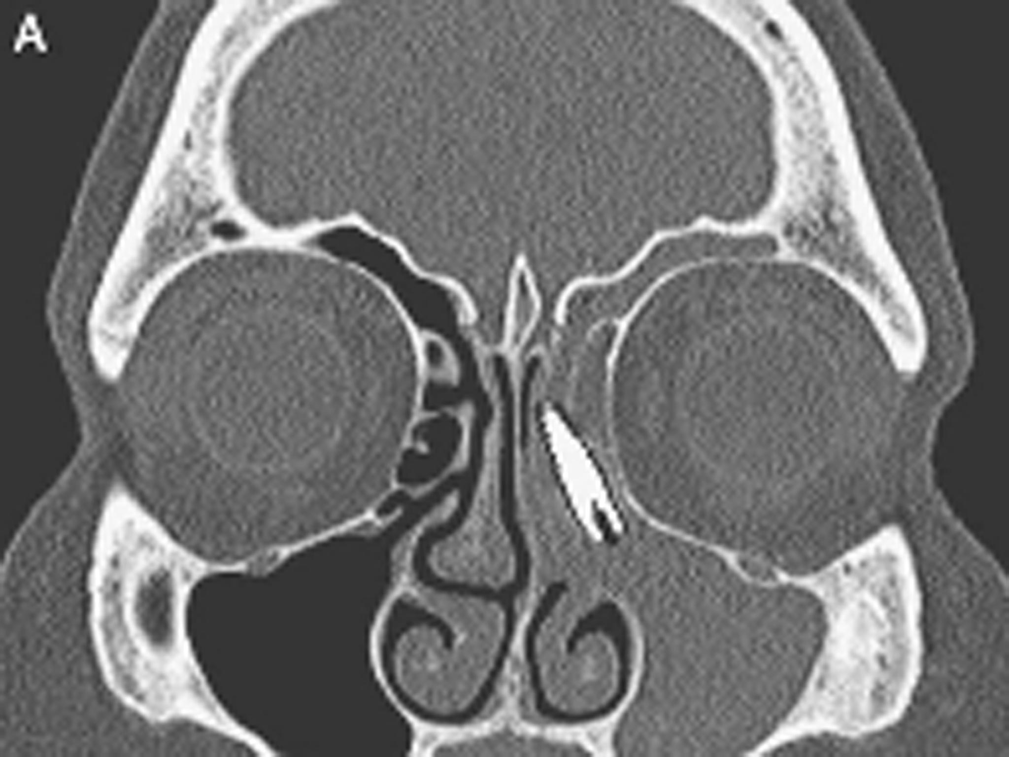
Dental screw found in woman's nose after having sinus pain for two years

A metal screw was found next to her left eye which had migrated up from a dental implant

A woman complaining of pain in her sinuses was told the source of her discomfort was actually a 2cm long metal screw lodged in her left sinus.

Two years before the discovery was made, the woman had visited her dentist to have a dental implant inserted as a replacement for a missing tooth. A screw was inserted into her upper jaw in order to keep the screw in place.

A later appointment at the doctor revealed the implant was not there and her gum covering the area of the missing tooth was healed, according to a study published in the New England Journal of Medicine.

A CT scan revealed the screw had travelled into her nasal cavity and settled next to her left eye.

Surgery to remove the implant was undertaken, and the woman reported that her sinus symptoms had disappeared almost immediately after the procedure.

Researchers believe the implant may have been improperly inserted, or come lose because of tissue and bone around the plant eroding.

The 57-year-old attended a check-up eight months later and had reported the sinus pains had not returned since her operation to remove the screw.

Researcher Alberto Schreiber, of the University of Brescia in Italy, said he believed the implant had been lodged in her sinus for at least a year, but may have migrated there even earlier.

Join our commenting forum

Join thought-provoking conversations, follow other Independent readers and see their replies

Comments

Thank you for registering

Please refresh the page or navigate to another page on the site to be automatically logged inPlease refresh your browser to be logged in