Parasite found living inside man's foot 'may have been there for over four years'
The guinea worm parasite can grow up to one metre long

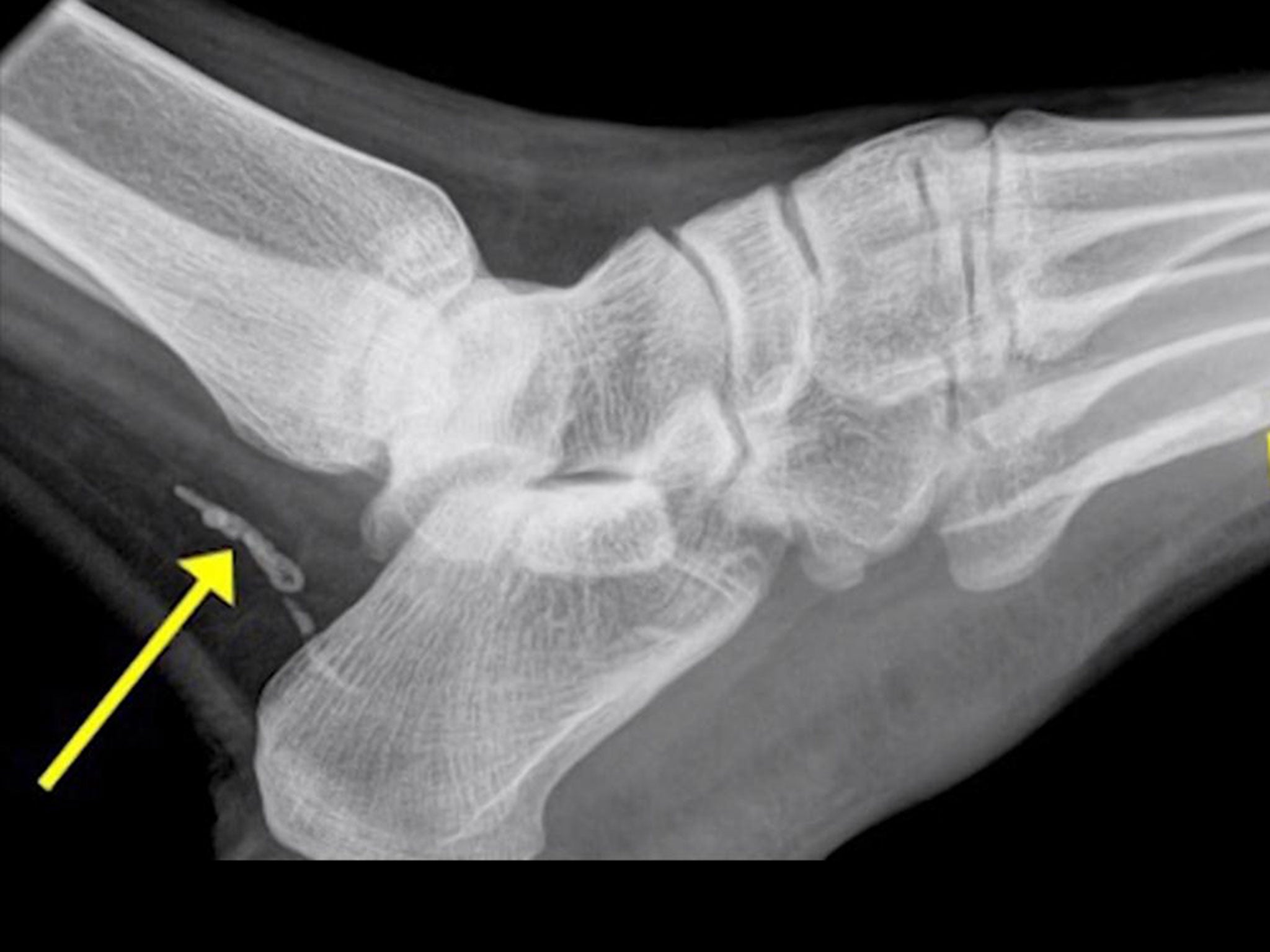
A X-ray on a man complaining of a swollen foot revealed a parasitic worm capable of growing up to a metre long had been living inside him for years.
The parasite was found inside a man by Dr Jonathan Darby, an infectious diseases physician at St Vincent's Hospital in Melbourne.
Mr Darby told The Sydney Morning Herald that the man said his foot had been painful for about a year.
This length of time lead doctors to initially believe the source of his pain was most likely to have been caused by an infection.
However, an X-ray found what appeared to be two pieces of "guinea worm" or Dracunculiasis medinensis in his ankle and foot, a parasite still found in Africa. Adult females can grow up to one metre long.
Mr Darby said the man, a Sudanese migrant, was most likely infected in Africa before he left for Australia four years ago.
The parasite usually infects a person when they drink water that contains water fleas infected with guinea worm lava. There are typically no symptoms for about a year, at which point patients often complain about experiencing pain.
Female worms will usually move through the abdomen and into legs and feet, before trying to exit through the skin, creating blisters or ulcers.
Dr Darby said that this pain often causes people to put the affected part into water. If female worms meet water, they will discharge their larvae and setting off a new life circle.
"That whole process can take years. It can sit inside the human body alive for years or die, degenerate, and then cause problems in the area like it did for our patient," he said.
Mr Darby said the parasite discovered in his patient’s ankle was split into two and was only centimetres long because it had most likely died and begun disintegrating.
The pieces of worm were removed and the patient went on to make a full recovery.
Join our commenting forum
Join thought-provoking conversations, follow other Independent readers and see their replies
Comments