This early Alzheimer’s sign could be hiding in your routine scans, scientists say
MRI scans may reveal weakening brain drainage system linked to dementia, researchers say

Changes to tiny structures in the brain that can be detected in MRI scans could serve as a potential early indicator of Alzheimer’s, a new study suggests.
Alzheimer’s dementia progressively worsens as patients experience memory decline, loss of ability to pay attention, ultimately leading to their diminished daily functioning.
The number of dementia patients globally is expected to rise to 78 million in 2030 and 139 million in 2050, with an urgent need for improved early detection.
Scientists across the globe are racing against time to develop better brain scan markers and other cost-effective tools for faster diagnosis before symptoms show up in patients. Spotting Alzheimer’s at an early stage can allow doctors to intervene sooner and potentially slow the progression of symptoms.

Now, researchers have found that clogged brain drainage spaces visible on MRI scans could serve as early predictors of Alzheimer’s before major brain damage occurs.
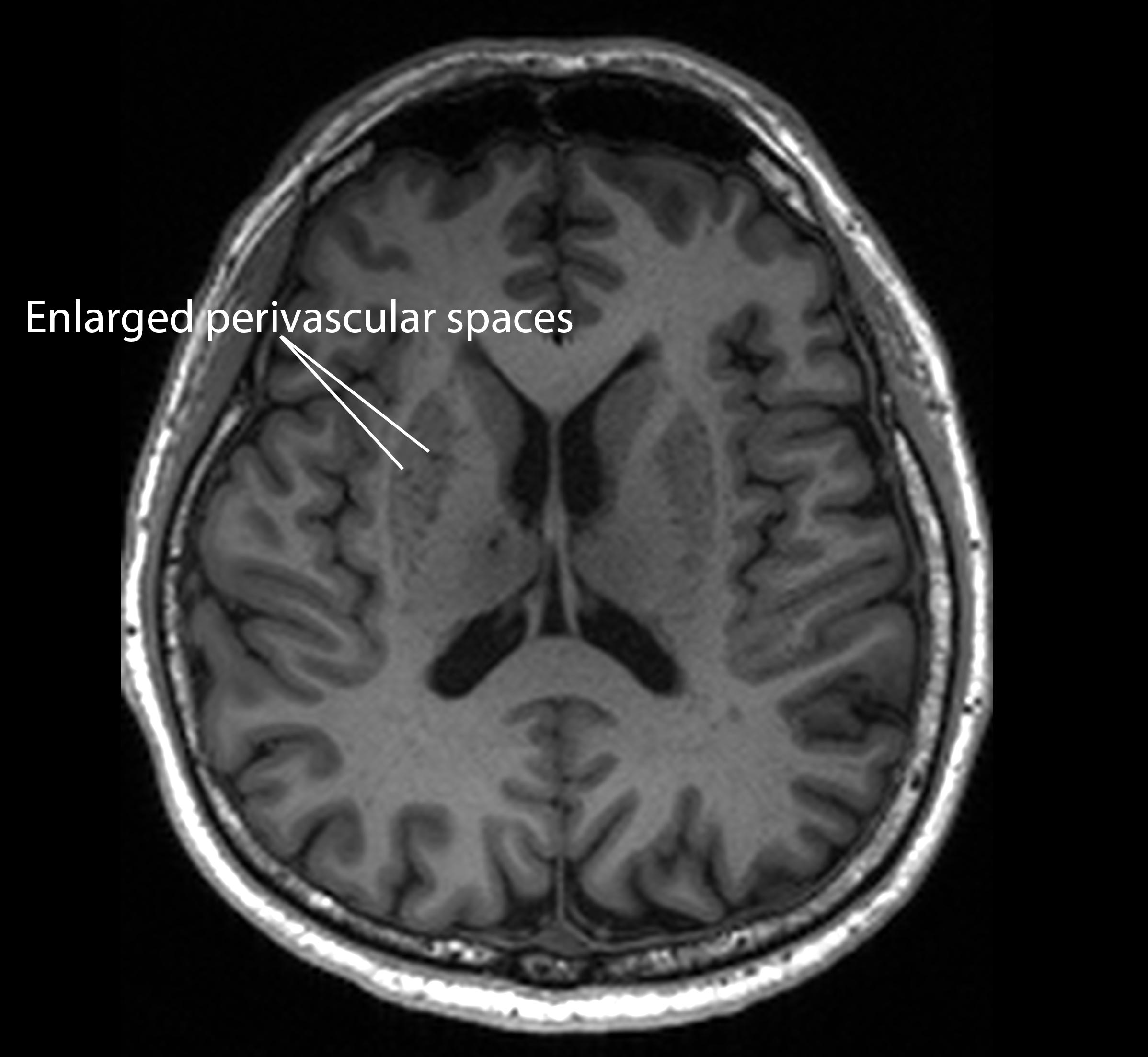
They found these natural “drains” in the brain – small channels that serve as pathways for clearing harmful waste – are more likely to become blocked in people who show early signs of Alzheimer’s disease.
Blocks to these drains, termed “enlarged perivascular spaces”, could serve as an important early signal of dementia, according to the study published in the journal Neurology.
“These brain anomalies can be visually identified on routine magnetic resonance imaging (MRI) scans performed to evaluate cognitive decline,” said neurologist Nagaendran Kandiah from Nanyang Technological University, Singapore (NTU Singapore).
“Identifying them could complement existing methods to detect Alzheimer’s earlier, without having to do and pay for additional tests,” Dr Kandiah said.
When this drainage system becomes inefficient, these spaces can expand in a way that is detectable on MRI scans, researchers say.
In the study, they examined brain scans from nearly 1,000 people in Singapore from various ethnic groups, including nearly 350 who do not have any cognitive problems.
Scientists compared the brain scan data of individuals with no cognitive concerns to those showing difficulties in thinking.
Those with mild cognitive impairment seemed to have clogged drains in their brains, or enlarged perivascular spaces, compared to the other participants, the study found.
Researchers also assessed blood markers of Alzheimer’s found in the participants’ blood, including beta amyloid and tau proteins, which are well known to be linked to the condition.
The presence of clogged drains in the brain was found to be linked to four of the seven blood molecule measurements, including amyloid plaques and tau tangles.
“These findings are significant because they suggest that brain scans showing enlarged perivascular spaces could potentially help identify people at higher risk of Alzheimer’s disease, even before symptoms appear,” said Rachel Cheong Chin Yee, a geriatric medicine expert who was not involved in the study.
Scientists hope to conduct follow-up assessments on the study participants to check how many go on to develop Alzheimer’s and to confirm that enlarged perivascular spaces can predict those more likely to progress to dementia.
Join our commenting forum
Join thought-provoking conversations, follow other Independent readers and see their replies
Comments