What is Prima? The device helping those with vision loss to read again
The pioneering electronic eye implant is just 2mm by 2mm and has half the thickness of a human hair

Patients with vision loss caused by a common but untreatable condition are able to read again thanks to a groundbreaking eye implant.
The Prima device is an electronic eye implant which measures just 2mm by 2mm and has half the thickness of a human hair.
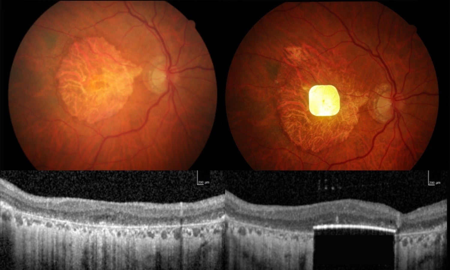
Fitted under the layer of light-sensitive tissue in the eye called the retina, it allows patients with geographic atrophy (GA), which is an advanced stage of dry age-related macular degeneration (AMD), to see through an eye that was previously blind.
The world-first trial involved 38 patients across 17 sites in five countries, including the UK, France, Italy and the Netherlands, with procedures taking place at Moorfields Eye Hospital in London around three years ago in under two hours.
So what exactly is the device, and how does it help?
What is the Prima device?
Prima, developed by US medtech company Science Corporation, comprises a tiny chip, measuring about 2mm by 2mm and the same thickness as a human hair, as well as augmented reality glasses and a pocket computer.
How was it implanted?
Patients had the clear, jelly-like substance from inside the eye – known as a vitrectomy – removed. Surgeons then created a trapdoor under the centre of the retina, the light-sensitive lining at the back of the eye that converts light into electrical signals, which are then sent to the brain via the optic nerve to be processed as vision.
How does the device work?
The chip switches on when patients put the augmented reality glasses on. Scenes picked up by the video camera in the glasses are beamed across the chip, while artificial intelligence in the pocket computer processes the information and converts it into an electrical signal.

This signal is then beamed back through the cells in the retina and optical nerve in the eye and through to the brain, where it is interpreted as vision.
Who has the device been designed for?
The device has been developed specifically for people with a condition known as geographic atrophy (GA), which is an advanced stage of dry age-related macular degeneration (AMD).
AMD causes changes in the part of the eye known as the macula, the central part of the retina, which plays a key role in sight.
Symptoms of age-related macular degeneration (AMD)
NHS
Age-related macular degeneration (AMD) affects the middle part of your vision, not the edges (peripheral vision).
Other symptoms include:
- seeing straight lines as wavy or crooked
- being sensitive to bright light
- seeing flickering or flashing lights
- seeing things that are not there (hallucinations)
According to the NHS, it usually affects people in their 50s, and while the exact cause is unknown, it has been linked to age, smoking, being overweight, and high blood pressure.
GA is estimated to affect five million people worldwide, with experts suggesting that one in four UK patients who are registered blind have GA from AMD.
How long does the operation take?
The procedures that took place at Moorfields Eye Hospital in London took less than two hours.
What happens after the procedure?
The chip is activated after around a month. After this, patients underwent intense rehabilitation with low vision specialists and technicians at Moorfields. Initially, all they see is lights triggered by the device.

Experts help the patients to align the device, while the pocket computer refines the signals to turn the flashing lights into formed objects and letters. After a few months, they start to see things which are actually in front of them, rather than just flashing lights.
Can patients wear the device all the time?
The chip is a permanent fixture in the patient’s eye and is activated when they put on the augmented-reality glasses. There is no time limit, and they can wear the glasses every day for as long as they like.
How many people were on the trial and what were the findings?
Some 38 patients from across 17 countries took part in the study, which started around three years ago, including people in the UK, France, Italy and the Netherlands.
The findings, published in the New England Journal of Medicine, show 84 per cent of patients were able to read letters, numbers and words while using Prima, and on average, could read five lines on a vision chart.
Before the device was fitted, some patients could not even see the chart.
Could this be used on people born blind?
Experts suggest Prima would not be useful for people born blind. The chip is essentially like placing an electronic photoreceptor in the eye, but the retina needs an optic nerve to work. In those born blind, the optic nerve is not really working, so putting something in the retina will not pass signals to the brain.
However, they are hopeful this type of technology could one day be used to restore vision in people with other conditions.
Join our commenting forum
Join thought-provoking conversations, follow other Independent readers and see their replies
Comments
Bookmark popover
Removed from bookmarks