Student left in agony after untreated decay led to abscess that nearly caused sepsis
The student described the events as ‘traumatic’ and said she now has a ‘deep fear of dentists’
A student described as "traumatised" has been awarded a £26,000 settlement from her former dental practice after alleged negligence led to a severe abscess and a near-sepsis incident.
Katelyn De Blick, then 16 and from Keighley, West Yorkshire, sought treatment at her local Skipton Road Mydentist practice in summer 2021 for a cracked tooth. Instead of addressing underlying decay, the tooth was reportedly cleaned and covered with a sealant.
Weeks later, Ms De Blick returned to the practice experiencing "severe pain and a swollen jaw."
She was diagnosed with a potential infected abscess, given antibiotics, and advised to attend A&E if her condition worsened.
As the "throbbing, stabbing" pain and swelling persisted, Katelyn’s mother took her to Airedale General Hospital’s A&E department.
There, she was informed that the tooth required immediate removal and that the abscess posed a significant risk of causing sepsis.
She subsequently underwent surgery under general anaesthetic at Bradford Royal Infirmary. Medics removed the tooth and drained the abscess externally, leaving her with a "painful" open wound for several weeks and a lasting 50p-sized scar.

Following intervention from specialist dental negligence solicitors, the Dental Law Partnership, Ms De Blick’s case concluded in January 2025. She received £26,000 in an out-of-court settlement, though the dental practice owners did not admit liability.
Katelyn, now 20, told PA Real Life: “The hospital said that, if I had waited any longer, (the abscess) could have potentially popped and caused sepsis.
“So they rushed me in for emergency surgery to take the tooth out under general anaesthetic and to drain the abscess.
“I was frightened because I’d never had an operation under anaesthesia before.
“The whole experience was traumatic.”
A spokesperson for Mydentist said: “We would like to apologise for the experience Ms De Blick had.
“Providing the highest quality dental care to our patients is our first priority and we deeply regret that, on this rare occasion, it fell below our expectations.
“The dentist involved in this case no longer works at the practice.”

Katelyn had been a patient of Mydentist, located at 165-167 Skipton Road, Keighley, West Yorkshire, for several years and said her appointments had always been “generally OK”.
She never had any major issues with her teeth until the summer of 2021, aged 16, when she started experiencing pain – but she “didn’t think anything of it”.
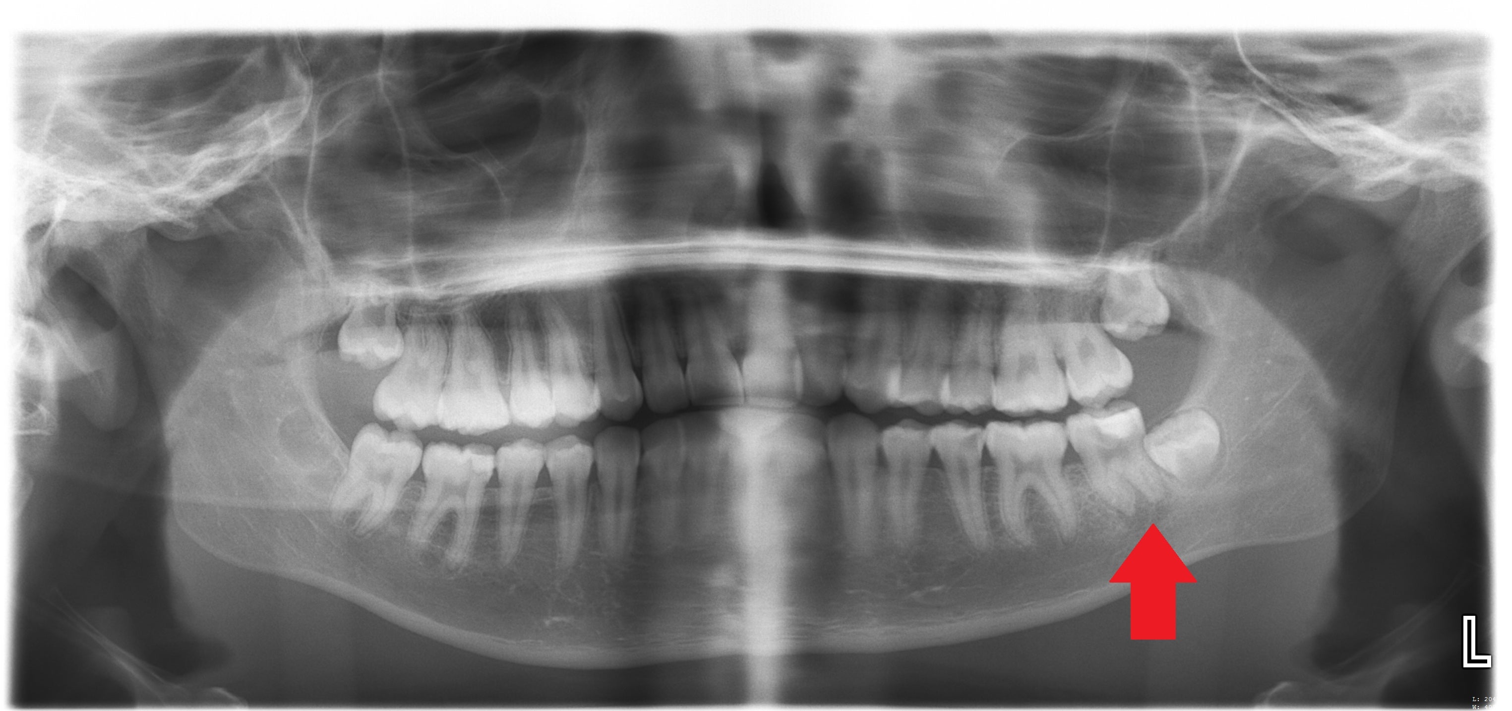
A check-up revealed one of her teeth on the left-hand side, LL7, had cracked, and she said a dentist, who cannot be named for legal reasons, cleaned it and placed a sealant on it.
“After they had done that, a few weeks later, I started to get severe pain and the whole side of my face had swollen up,” she explained.
“At first, it was more just thinking I’d had a reaction or something, so I went to the dentist to get it checked, and they said that I had a severe abscess on the back of my tooth.
“They said that they were going to give me antibiotics for it for a few weeks and that should help it.”
However, days later, Katelyn said the swelling had “spread down to (her) throat”, making it difficult for her to breathe properly.
She said the swelling was so severe that her mother asked her if she had “fallen over”.

Describing the pain, Katelyn said: “I couldn’t lift my head up, I couldn’t get up.
“Every time I moved, I felt like I couldn’t breathe and, because the pain was so bad, I couldn’t eat or drink, which obviously made me dehydrated.
“But at one point, I was lying on my bedroom floor because I couldn’t get up and I was on the phone to my mum, wheezing, because I just couldn’t breathe. I couldn’t take any air in.”
This prompted her mother to take her to the A&E department at Airedale General Hospital, where medics informed them the tooth “should have been pulled out straightaway because of how severe it was”.
Katelyn said she was then referred to the Ear, Nose and Throat department at Bradford Royal Infirmary, where she received some “scary” news.
She said it was revealed that the cracked tooth and abscess were a result of untreated decay, and she was told the abscess was on the verge of bursting and causing sepsis.
“They had to make an incision at the back of my mouth so they could get the tooth out and drain the abscess,” she said.
“I had to wear a drain until it had all healed up and I had to have stitches.
“I had to stay in the hospital for a few days, which meant I lost out on college.”
Katelyn said the hospital admission left her feeling “frightened, anxious and scared” and, since the surgeon had to burst the abscess from the outside to avoid further infections, she was left with a visible hole for weeks.
She said she had to clean the wound every day and use bandages, which was “painful”, and she felt “very low” at this point.
“I didn’t want to go out because I just felt so horrible,” she explained.
“At that time, I was in college and I’m one of those people who likes to keep to themselves, and people were asking questions that I didn’t want to answer.
“It all just felt very overwhelming.”

Katelyn said it took several months for the wound to heal fully, and she has now been left with a permanent scar the size of a 50p coin.
She described the events as “traumatic” and said she now has a “deep fear of dentists” – and to this day she still experiences pain and sensitivity where the tooth used to be.
After being put in touch with the Dental Law Partnership, which completed further investigations and analysis, it was revealed Katelyn’s dentists failed to diagnose and treat decay for years.
The progression of the decay resulted in the infected abscess, the emergency hospital admission and the need for an operation and tooth removal, all of which “could have been easily avoided”.
“It was frustrating and devastating to hear that, if they had just taken a few more minutes to clean (the tooth), then I wouldn’t have had to go through all of this,” she said.
The Dental Law Partnership took on Katelyn’s case in 2021 and it was successfully settled in January 2025, when she was paid £26,000 in an out-of-court settlement.
Petrie Tucker and Partners Limited, which runs the practice, did not admit liability.
Katelyn, who has put the money in a savings account, hopes this does not happen to any other young person.
Speaking about her advice to others, she said: “It’s always good to talk to someone and don’t be afraid to ask for help.”
Rebecca McVety of the Dental Law Partnership said: “The distress and pain our client has experienced was completely unnecessary.
“If the dentists involved had provided more satisfactory treatment, her problems could have been avoided.”
Join our commenting forum
Join thought-provoking conversations, follow other Independent readers and see their replies
Comments
Bookmark popover
Removed from bookmarks