Woman diagnosed with Foreign Accent Syndrome after waking up from surgery with three different accents
‘I’m scared and terrified of never being able to speak normally again,’ she says
A woman who has three different accents has revealed the terrifying ordeal she suffered after suddenly being unable to speak in her native drawl.
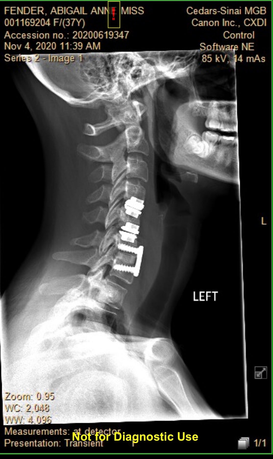
When Abby Fender woke up after surgery to fix a herniated disc, she was shocked to discover her vocals were “paralysed” and her Texas accent had disappeared.
A week later, the former singer claims she began speaking in a thick Russian accent without any connection to the country or ever having been there.
Fender was eventually diagnosed with Foreign Accent Syndrome, a condition so rare it only affects around 100 people worldwide.
“I’m scared and terrified of never being able to speak normally again,” she told NeedToKnow.online. “I woke up from my surgery and immediately knew something was very wrong with my voice, as I couldn’t speak with any volume.
“Soon, I began to feel the pitch of my voice go very, very high and we called it the ‘Russian Minnie Mouse voice’ where I sounded like a cartoon character all the time.”
According to Fender, strangers she spoke to “laughed in [her] face,” as she noted that it “was funny to begin with, but not anymore”.
More recently, her accent has switched to Ukrainian and Australian, and Fender says she often has to lie about where she’s from to avoid any further questions.

“I don’t want to lie about where I’m from, yet sometimes, I do because it’s easier,” she explained. “Every time I do this, I feel like I’m denying who I really am and that’s not a good feeling, but I get asked: ‘Where are you from’ at least 10 times a day.”
According to Fender, she now tries to avoid saying where she’s from. “It’s given me permission not to go into the details of my condition, which no one can relate to or will hardly believe is real, although I’m not lying,” she said.
While she’s learned to accept her condition, Fender says that not everyone is as kind, as she claims she’s experienced subtle “racism” as a result.
Speaking about the incident, she said: “Police officers assume I’m from a foreign country and that I’m not all familiar with the ‘laws of the land.’ One time, an officer explained: ‘You know, we don’t drive like that here. You may be able to wherever you’re from.’“I’m treated as if I’m not even American... like I’m an outsider.”

Prior to surgery, she was a professional singer, and the hobby occupied her entire life from the age of 11.
After the initial blow, she recalls being unable to sustain the pitch she once had, as well as having a different tone of voice.
Soon, she started to feel “trapped” and decided to seek out medical advice after losing her “gift” suddenly, with no solution in sight.
The 39-year-old said: “It’s been incredibly difficult to be given any diagnosis, but many medical professionals don’t believe Foreign Accent Syndrome is real. I have been so disappointed, but I’ve gone through every test known to man, such as MRIs and CT scans, all to determine the cause of my speech dysfunction.
“I have been diagnosed with everything, from general speech dysfunction to Dystonia, a form of muscle spasm and contractions. However, nothing has ever pinpointed why I went to sleep with a southern accent and woke up sounding like this ... It’s so bizarre and scary not knowing what is causing this to happen.”
However, according to Fender, she was “thrilled” to find slight help for her condition in January 2021.
Now, she claims her “excellent” singing pitch is back, which she believes is due to muscle memory and the help of therapy.
“I saw a wonderful speech pathologist who helped me lower my pitch and mentally relax my neck muscles enough to slip into my natural speaking voice,” she explained. “I couldn’t believe it, as it was a miracle to hear my own voice again. With one vocal cord working, doctors said holding pitch wouldn’t be possible, but they were wrong.
“It was like coming home after a very long trip, but this wasn’t to last, as only by using certain techniques such as blowing bubbles into a bottle of water using a straw, will I get my old accent back.”Now, she’s dealing with an Australian accent and claims this has been harder to accept, as dealing with three is “uncontrollable.”
However, she said she has received support from her parents, who have helped her find her inner acceptance and peace.“I’m starting to feel okay with everything, but of course, my most recent change has stirred up unexpected feelings of fear and embarrassment,” she continued. “I don’t like not being in control or knowing what I’m going to sound like. It’s very scary.
“I believe something happened during the surgery that may have had a serious impact on the Broca portion of my brain, which controls the way we say different words and our general pitch when speaking, but we’ll never know. It’s been frustrating on levels I cannot even describe, as knowing how and what I want to say, but being unable to verbalise it is a curse I wouldn’t wish on my worst enemy.“I am totally at the mercy of my brain and for the first time in my life, I don’t know how to control my voice, but I’m so grateful for the Foreign Accent Syndrome, as without it, I wouldn’t be able to speak at all.”
Join our commenting forum
Join thought-provoking conversations, follow other Independent readers and see their replies
Comments


Bookmark popover
Removed from bookmarks